肺癌在我国各种恶性肿瘤中无论发病率还是死亡率均排名第一位,严重危害着国人的健康。空气污染、吸烟等是肺癌发病率居高不下的重要原因。而肺癌早期无明显症状,容易被忽略,发现时往往是晚期。早期发现肺癌,是最好的提高生存率的方法,所以,肺癌的科普宣传,依然任重而道远。
什么是肺癌?
肺癌是肺的上皮细胞的恶性肿瘤。肿瘤又称为新生物,也就是说肺癌是肺里面新长的具有恶性行为的一种肿瘤。
什么样的人容易患肺癌?
1.吸烟或长期吸入二手烟者全球范围内已有大量流行病学研究证实,吸烟是肺癌的最大风险因素,烟草中有50多种物质会引起癌症。专家指出,70%~80%的肺癌与吸烟(包括被动吸烟)相关。

2.年龄较大者被诊断为肺癌的患者有一半年龄在70岁以上,年龄小于55岁的仅占12%。
3.有癌症病史者曾患有癌症的人,患上肺癌的风险可能会增加。
4.有癌症家族史者 ;
5.与致癌剂长期接触者 ;
6.患有传染性肺部疾病者;
7.其他肺部疾病患者;
8.饮食不当者;
9.运气不佳者。
做什么检查才能早期发现肺癌?
早期肺癌是没有任何症状的,想要早期发现肺癌,只有通过辅助检查才能够实现。高度注意:胸片和胸透并不能早期发现肺癌。
胸部X线片和胸透由于清晰度较差,所以在肺结节的早期发现方面并不具有优势,由胸片和胸透发现的肺癌,一般不属于早期,很多都属于进展期甚至晚期。
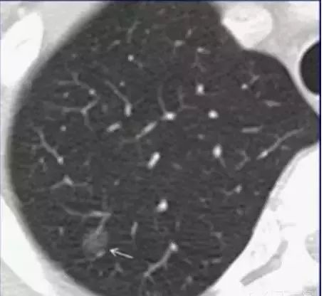
胸部CT上发现的磨玻璃样结节(箭头所示),病理结果为微浸润性腺癌(早期的肺癌),这在胸片上根本看不到。

胸部CT是胸部查体的首选检查。
胸部CT由于其分辨率高,可以发现肺上很小的结节灶,因此胸部CT对于肺癌的早期诊断具有极其重要的价值。而鉴于胸部CT有放射性,遂提出了低剂量胸部CT的概念。
哪些人需要进行肺癌健康体检?
对于年龄在40岁以上,且存在易患肺癌高危因素的人群,建议每年做一次低剂量胸部CT筛查。其实,40岁以下也有人患肺癌,但较少见。可根据个人情况,进行必要的健康体检。
发现肺结节怎么办?
肺结节与肺肿块
医学上把直径小于或等于3cm的圆形或类圆形病灶称为结节,直径大于3cm的病灶通常用“肿块”一词。而对于直径小于1cm的,我们称之为小结节。直径大于1cm的,我们称之为大结节。直径越大,其恶性的可能性则越大。
肺结节≠肺癌
首先要明白,对于CT筛查出来的小结节来说,90%是良性的。并非是只要肺上有结节就是肺癌。而且,对于小结节,即使是恶性的,那么它的治愈率也很高,在90%以上。
发现肺结节,请找专业的肿瘤科医生就诊。
肺结节的评价需要极其专业的知识才能够胜任。专业的肿瘤科医师会给你可能的建议。

考虑肺癌怎么办? 不要放弃,不要慌乱。
肺癌的治疗手段早已经今非昔比,胸腔镜技术,靶向治疗,免疫治疗等新的治疗手段都获得了巨大的突破。所以,即使确诊为肺癌,大家也不要慌乱。一定要积极的面对,积极的治疗。现在很多中期肺癌都得到治愈,甚至部分晚期病人也能够获得较好的生活质量与生存率。
相信科学,相信专业医生,按照医生的思路一步步的做,是最好的选择。